요즘 뉴스에서 폐렴에 대한 이야기가 많이 나오고 있는데요.폐렴은 기낭(폐포)에 영향을 미치는 폐의 염증성 질환으로 기낭에 체액이나 고름이 차서 기침, 발열, 호흡곤란 등의 증상이 나타날 수 있습니다. 박테리아, 바이러스, 곰팡이, 기생충 등 다양한 감염원에 의해 발생할 수 있습니다. 폐렴은 경증부터 중증까지 다양하며, 그 중증도는 특정 원인, 개인의 전반적인 건강 상태 및 기타 요인에 따라 달라집니다.오늘은 폐렴의 원인, 증상, 진단, 치료, 예방 방법에 대해 자세히 알아보도록 하겠습니다.
폐렴의 원인
폐렴은 주로 세균, 바이러스 또는 곰팡이에 의해 감염이 되며, 감염된 기생충이나 환경적인 요인도 원인이 될 수 있습니다. 특히, 고령자, 어린이, 면역력이 약한 사람들은 폐렴에 노출될 위험이 더 높습니다.
폐렴의 유형
세균성 폐렴: 이는 종종 폐렴구균과 같은 박테리아에 의해 발생합니다. 세균성 폐렴은 단독으로 발생하거나 다른 호흡기 감염의 합병증으로 발생할 수 있습니다.
바이러스성 폐렴: 인플루엔자(독감) 바이러스, 호흡기 세포융합 바이러스(RSV) 등을 포함한 바이러스가 폐렴을 유발할 수 있습니다. 바이러스성 폐렴은 세균성 폐렴보다 가벼운 경우가 많지만, 특히 특정 집단에서는 여전히 심각할 수 있습니다.
마이코플라스마 폐렴(비정형 폐렴): 마이코플라스마 폐렴은 폐렴을 일으킬 수 있는 박테리아의 일종입니다. 이는 세균성 폐렴보다 덜 심각한 경향이 있으며 때로는 비정형 폐렴이라고도 합니다.
진균성 폐렴: 폐포자충(Pneumocystis jirovecii)과 같은 곰팡이는 특히 HIV/AIDS 환자나 면역억제 치료를 받는 사람과 같이 면역체계가 약화된 개인에게 폐렴을 유발할 수 있습니다.
흡인성 폐렴: 음식물이나 위 내용물 등의 이물질이 폐로 흡입되어 염증과 감염을 일으킬 때 발생하는 폐렴입니다.
폐렴의 증상
폐렴의 주요 증상은 발열, 기침, 가슴 통증, 호흡 곤란 등입니다. 일반적으로 감기와 비슷한 증상이 나타나지만, 증상이 심해지면 응급 상황이 될 수 있으므로 조기에 의료진과 상담하는 것이 중요합니다.
폐렴의 진단
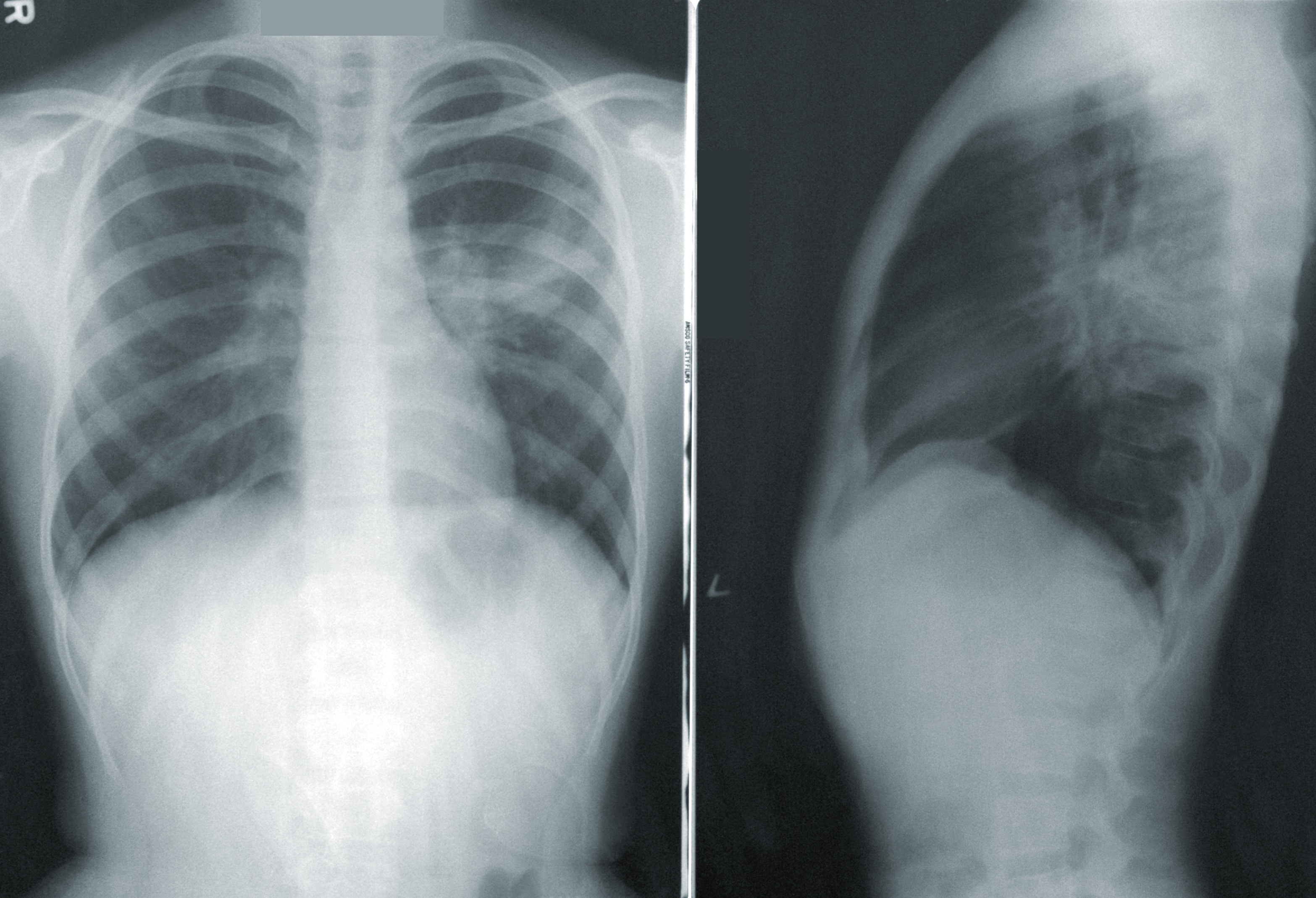
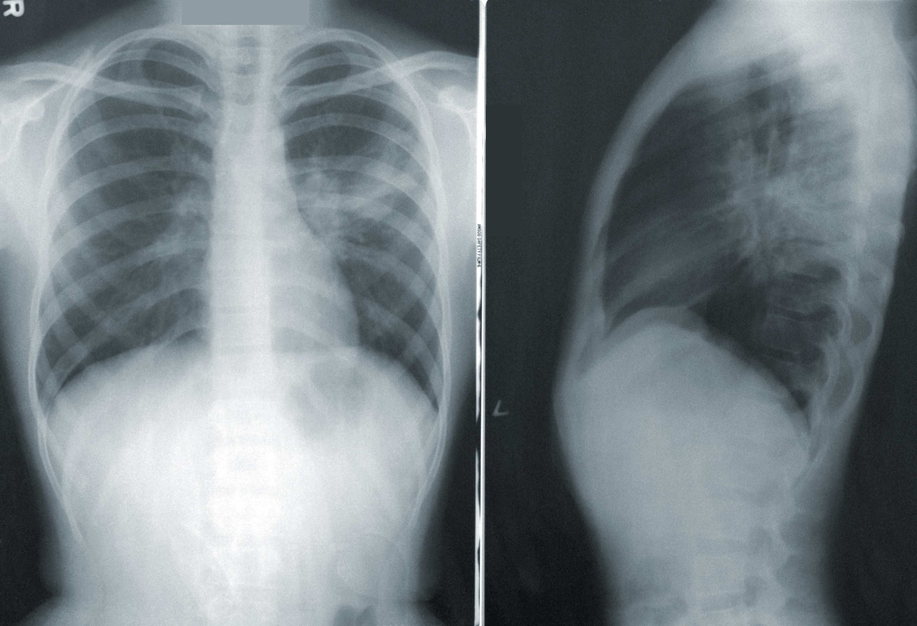
의료진은 폐렴을 진단하기 위해 환자의 증상을 평가하고, 청진기로 폐의 소리를 들어보며 X-레이 또는 CT 스캔을 통해 폐의 상태를 확인합니다. 가끔은 증상이 애매한 경우에는 혈액 검사나 기침 샘플을 통해 원인을 확인하기도 합니다.
폐렴의 치료
폐렴의 치료는 감염 원인에 따라 다를 수 있습니다.
세균성 폐렴: 항생제가 처방되는 경우가 많습니다.
바이러스성 폐렴: 바이러스에 따라 항바이러스 약물을 사용할 수 있습니다.
진균성 폐렴: 이러한 경우에는 항진균제가 사용됩니다.
지지 요법: 원인에 관계없이 휴식, 적절한 수분 공급, 때로는 산소 보충과 같은 지지 요법 조치가 필요할 수 있습니다.
폐렴의 예방
폐렴을 예방하기 위해 다음과 같은 조치를 취할 수 있습니다.
손 씻기: 규칙적으로 손을 씻어 세균과 바이러스의 전파를 예방합니다.
예방접종: 폐렴 예방을 위해 예방접종을 받는 것이 좋습니다.
면역력 강화: 올바른 식단, 충분한 수면, 규칙적인 운동 등을 통해 면역력을 강화합니다.
흡연 금지: 담배 연기는 폐 건강에 해로우므로 흡연을 피하는 것이 좋습니다.
폐렴은 심각한 질병이지만, 적절한 예방과 치료를 통해 많은 경우에 회복이 가능합니다. 만약 폐렴의 증상을 경험한다면, 즉시 의료진과 상담하여 치료받는 것이 중요합니다. 건강을 지키기 위해 폐렴 예방에 최선을 다해보세요. 감사합니다!
'건강' 카테고리의 다른 글
잇몸질환과 증상및 예방법 (0) | 2024.01.23 |
---|---|
식중독의 종류와 발생되는 원인, 예방하는법 (0) | 2024.01.22 |
당뇨의 유형과 위험요인 (0) | 2024.01.20 |
저혈압의 원인과 증상 그리고 치료법 (0) | 2024.01.19 |
고혈압의 원인과 증상 그리고 예방법 (0) | 2024.01.18 |